SCIENCES DE LA VIE ET DE LA TERRE

Terminale S Enseignement spécifique


Retour à la page d'accueil


Thème Corps humain et santé
Neurone et fibre musculaire: la communication nerveuse


Des exemples de sujets

Le chap.1 Fichier pdf (livre Belin TS SVT utilisé au lycée)



Chap.I Le réflexe myotatique, un exemple de commande réflexe du muscle
Chap.II Motricité, volonté et plasticité cérébrale

Un membre bionique: comment est-ce possible? ( Temps hors classe)

  • Que suggèrent les journalistes à la fin de ce reportage?

  • Quelles ont pu être les contraintes physiologiques, anatomiques... lors de cette opération?

Chap.I Le réflexe myotatique, un exemple de commande réflexe du muscle

I Le support anatomique et cellulaire du réflexe myotatique


Vidéo n°1 La moelle épinière (capsule de cours - Temps hors classe)


Activité à effectuer: légender le schéma de la coupe transversale de la moelle épinière (Temps hors classe en amont du TP: obligatoire)


TP 1 Etude expérimentale d'un réflexe myotatique: le réflexe achilléen


Vidéo n°2 Le réflexe myotatique (capsule de cours - Temps hors classe)




Lien vers EdmodoQCM (Temps hors classe en amont)

Document Réflexe myotatique Schéma de l'arc réflexe à compléter

TP n°2 Le système nerveux central et périphérique / Observer - organiser


Anatomie encéphale de mouton

Evaluation clinique du réflexe myotatique


Les structures mises en jeu


Un récepteur sensible à l'étirement du muscle: le fuseau-neuromusculaire


Un neurone sensoriel qui conduit le message nerveux du récepteur sensoriel au centre nerveux


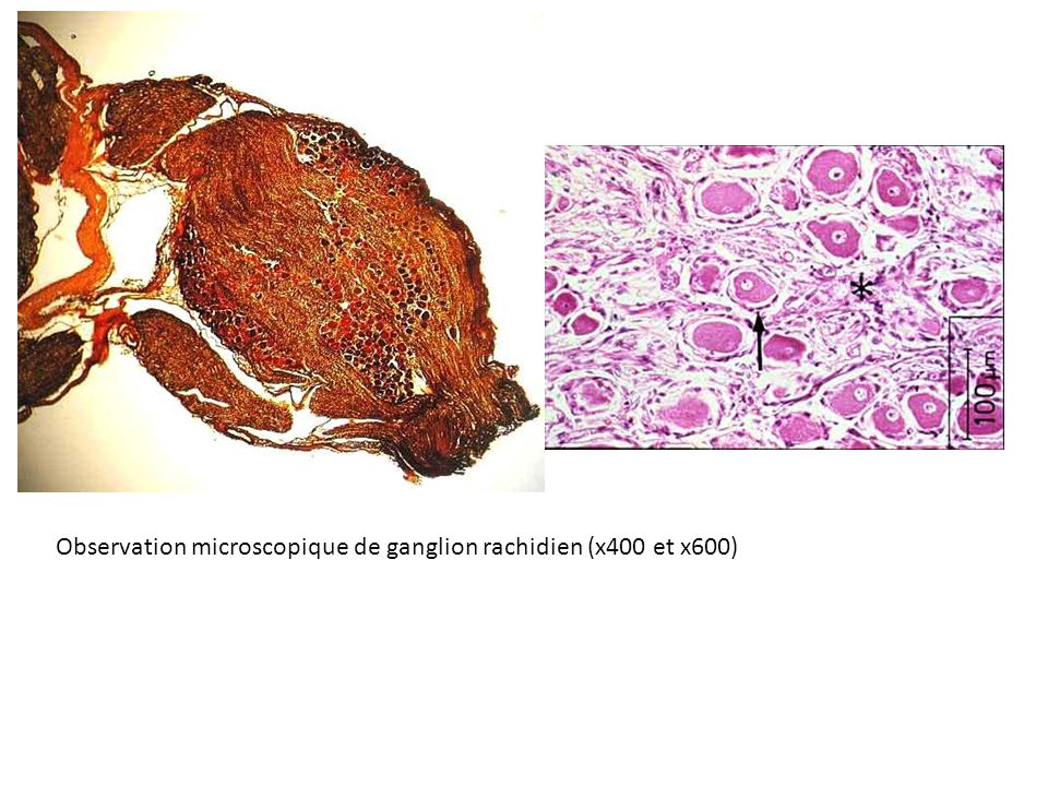
Un centre nerveux: la moelle épinière


Un motoneurone


Une plaque motrice (synapse neuro_musculaire)


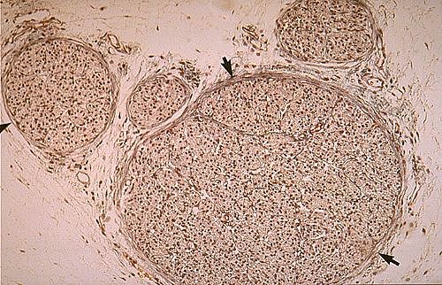
Nerf rachidien


Schéma Motoneurone


Nerf rachidien


Photo prise en TP Eléa, Théo D., Eva J., Dorian

II Nature et transmission du message nerveux


Logiciel nerf.exe


Fiche documents à compléter


Le professeur Michel Vignes enseignant à l'université de Montpellier dans le Département Enseignement Biochimie Physiologie nous explique l’expérimentation d’électrophysiologie. Il nous démontre en image comment mesurer la transmission synaptique dans un réseau de neurone à savoir la communication entres ces neurones.
La préparation: Pour pratiquer la mesure, Michel Vignes nous explique la procédure à suivre sur la fabrication de la solution et des électrodes en verre.


Dispositif expérimental

Potentiel de repos

Potentiel d'action

Codage en fréquence au niveau d'une fibre nerveuse

Recrutement de fibres nerveuses: codage en amplitude au niveau d'un nerf

Synapse

III Le fonctionnement de la synapse


Le professeur Michel Vignes enseignant à l'université de Montpellier dans le Département Enseignement Biochimie Physiologie nous explique l’expérimentation d’électrophysiologie. Il nous démontre en image comment mesurer la transmission synaptique dans un réseau de neurone à savoir la communication entres ces neurones. 3ème partie : la pratique. Michel Vignes nous décrit et nous explique le poste qui va nous permettre de visualiser la transmssion synaptique d’un neurone.


Une synapse neuro-neuronique (microscope électronique)


Exemple d'un schéma


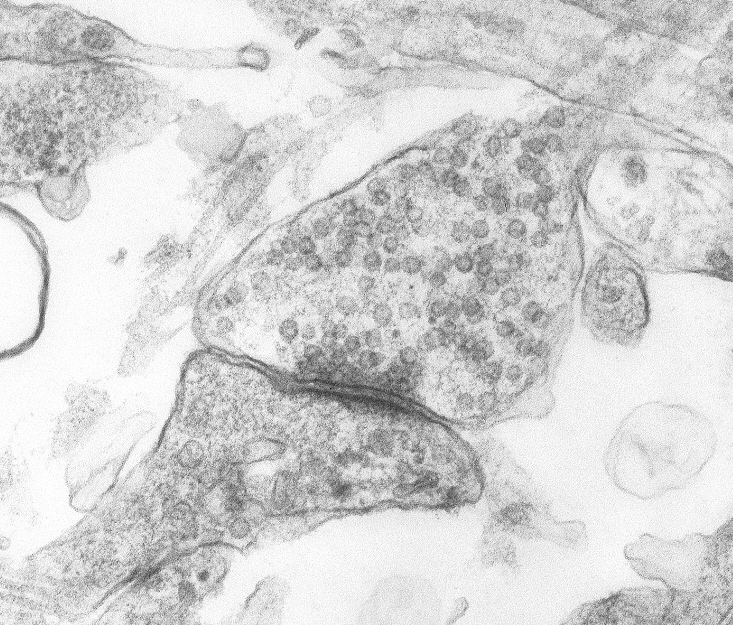
Une synapse neuro-musculaire: plaque motrice (microscope électronique)


Exemple d'un schéma (à légender)


Vidéo Fonctionnement d'une synapse


Synapse neu-neuronique


Auto-évaluation 1 à 5


Sujet Bac 2016 Amérique du Nord Type 2.2 (non spé)

Des bilans (vidéos conseillées)